My goal is to help clients keep their smiles looking their very best and feeling their healthiest.
Visiting the dentist should be a joyful experience, one that is comfortable, relaxing, and fulfilling. With these objectives in mind, Dr. Arun Narang utilizes the most advanced techniques and technology available and approaches treatment with great compassion and personal attention. His extensive training makes it possible to reduce discomfort, identify concerns in the earliest stages, and treat them effectively. As a result, our patients can enjoy the healthiest and most beautiful smiles of their lives, for all of their lives.
Dr. Narang is an Accreditation Candidate for the American Academy of
Cosmetic Dentistry (AACD), one of the most distinguished and prestigious dental organizations in the world. He was also an elected Executive Member of the Toronto Academy of Cosmetic Dentistry (TACD) for ten years and was a past Director of the Board of Directors for the AACD. Dr. Narang was also a past co-chair of the PEC (Professional Education Committee), and he is presently the Chairman of the Affiliates Committee of the AACD. Dr. Narang has been practicing dentistry since 1984, and his passion for individualised treatment and exceptional care is the thread that follows through his entire career.
Dr. Narang is a proud participating member of the American Academy of Cosmetic Dentistry’s (AACD) Give Back a Smile (GBAS) program. This charitable organization pairs experienced dentists with domestic and sexual abuse survivors who have suffered dental injuries. Dentists like Dr. Narang help these women and men develop greater confidence through restorative dental treatment, allowing them to more easily re-enter the workforce and find independence. As with every patient he treats, Dr. Narang approaches each GBAS opportunity with compassion and the desire to provide exceptional, lasting results.
Learn MoreMissing one or more teeth? Restore your smile using the most advanced technology and techniques available. Dental implants from Dr. Narang or our extensively trained Specialist and Implantologists can boost your confidence while rebuilding a beautiful, natural-looking smile. Dental implants are designed to last for life and require the same maintenance as natural teeth. Are you ready to enjoy all your favorite foods again?
Learn More
Before
AfterA secure smile in less time? All-on-4™ can do that. Restore your appearance in just one day with this innovative technique that uses four to six dental implants to replace all missing teeth. Our approach can deliver a durable result that’s also beautiful to behold, because you shouldn’t have to choose between oral form and function. Talk to our team to find out if this revolutionary treatment can help you enjoy a healthier, happier smile.
Learn More
Before
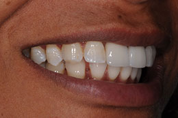
AfterChips, gaps, and stains don’t stand a chance against porcelain dental veneers. Designed to look and feel totally natural, veneers can upgrade your smile and address a wide range of cosmetic concerns in one treatment.
Straighten teeth without restricting wires with Invisalign® clear braces. This orthodontic treatment uses a series of removable aligner trays to help guide your smile into better alignment without the need for uncomfortable metal parts.
We know for busy individuals planning one dental appointment can be difficult enough. That is why we offer CEREC® same-day dental crowns. This state-of-the-art CAD-CAM technology makes it possible to create a custom-made crown and place the restoration in the same visit.
“Try on” your smile before you begin treatment. Our Digital Smile Design high-definition imaging system makes it possible to precisely plan your smile makeover, print out a model, and slide it over your existing teeth to see how they look.
Have more than one cosmetic concern you would like to address? Smile Facelift is a customized procedure that combines the treatments you need to achieve the look you’ve always wanted. Dr. Narang will evaluate your needs, listen to your goals, and develop a personalised program for you.
Remove deep, set-in stains while preserving the health of your teeth and oral structures. Teeth whitening from our skilled team can whiten and brighten even the toughest kinds of discolouration without damaging enamel or causing sensitivity.
Before
After
Before
After